Diyetler zorlayıcı olabilir, özellikle de istediğiniz sonuçları alamıyorsanız. Tartıya çıkmak ve kilo aldığını görmek 28 yaşındaki Jaimi Conwell …
Diyetler zorlayıcı olabilir, özellikle de istediğiniz sonuçları alamıyorsanız. Tartıya çıkmak ve kilo aldığını görmek 28 yaşındaki Jaimi Conwell için olağan bir olay haline gelmişti. Yıllardır kalori kesme ve ketojenik diyet de dahil pek çok katı diyeti uygulamasına, her gün düzenli egzersiz yapmasına rağmen ne kadar uğraşırsa uğraşsın istediği sonucu alamıyordu. Daha da kötüsü, Jaimi iki yıl önce daha da hızlı kilo almaya başladı ve buna mide bulantısı da dahil pek çok endişe verici yeni semptom eşlik etti.
O sırada 114 kilo olduğunu belirterek, “Ayakkabımı bağlamak için öne eğilirdim ve midem bulanırdı. Bunun kilolu insanlar için normal olduğunu düşünüyordum” diyor Jaimi. “Her şeyin normal olduğundan emin olmak için kan sayımı yaptırmak için doktora gittim ve beyaz kan hücrelerim anormal çıktı.”
‘ÖLECEK MİYİM?’ SORUSU AKLINDAN ÇIKMIYORDU
Doktorlar, Jaimi’nin tıbbi sorunlarının kaynağını daha iyi tespit etmelerini sağlayacak bir öneride bulundu: Keşif ameliyatı.
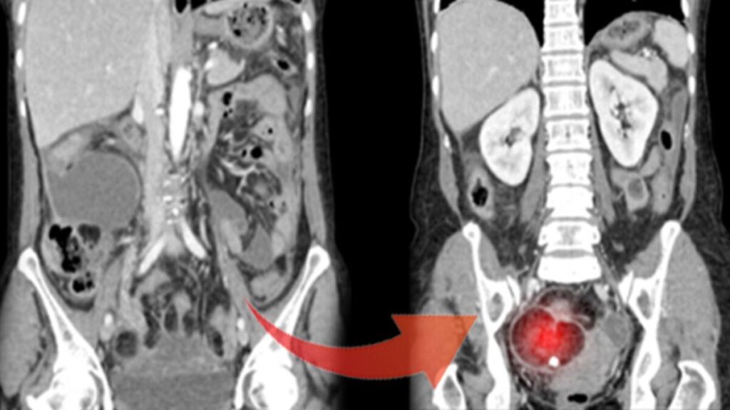
Anestezi altında gerçekleştirilen operasyon sırasında Jaimi’nin sağ yumurtalığının etrafında bir tümör olduğu keşfedildi. Tümörü, kanserli olabileceği korkusuyla, yumurtalıkla birlikte çıkarmaya karar verdiler. Kendine geldiğinde doktorların tümörden bahsetmesiyle Jaimi dehşete kapıldı.
Jaimi, “Uyandıktan sonra annemle yürüyüşe çıktım ve yüzündeki endişeyi görebiliyordum. Bu yüzden bir şeylerin yolunda gitmediğini anlayabiliyordum” diyor.
Annesi tümörün iyi huylu olup olmadığını bilmediklerini söylediğinde Jaimi, bunun ölümcül olduğunu düşünmeye başladı: “O kadar şoktaydım ki o an nasıl hissettiğimi hatırlayamıyorum. ‘Ölecek miyim?’ sorusunu aklımdan çıkaramadığımı hatırlıyorum.”
TÜMÖRÜN ETRAFI SAÇ VE DİŞLERLE KAPLIYDI
Jaimi’yi dehşete düşüren sadece bir tümöre sahip olması değildi. Üstelik sürekli büyüyen yaklaşık 9 kilogram ağırlığındaki tümörün etrafı saç ve dişlerle doluydu.
Jaimi, “Doktorlar bunun içimde üç tane çocuk olması gibi bir şey olduğunu söylediler. Aynı zamanda dişleri ve tüylerinin olduğunu da öğrendim. Bu benim için her şeyden daha iğrençti” diye konuşuyor.
Peki kulağa oldukça ürkütücü gelen bu tümörü nasıl yorumlamak gerekiyor? Jaimi’nin başına gelenleri yaşayan başkaları da var mı? Bu konuda kafamıza takılanları Kadın Doğum Uzmanı Prof. Dr. Yavuz Şimşek‘e danıştık.
Bir yumurtalık tümöründe diş, kemik, kıl, deri parçaları gibi diğer dokuların varlığının nadir bir durum olmadığını ifade eden Şimşek, “Bu durum bize tümörün ‘dermoid tümör’ ya da diğer ismiyle ‘matür kistik teratom’ olduğunu gösterir ki genç kadınlarda en sık görülen over tümörü türlerinden biridir” dedi.
Dermoid tümörler zaman zaman taşıdıkları tuhaf nitelikler nedeniyle bilim insanları arasında da bir merak konusu. Bu tümörlerin bazılarının saç, diş, kemik ve çok nadiren göz küresi gibi daha karmaşık organları içerdiğine dair kayıtlar bulunuyor.
KANSERLEŞME ORANI ÇOK DÜŞÜK
Tekrarlama olasılığının diğer tümörlere göre daha az olduğu dermoid tümörde, sadece tümörün çıkarılmasının yeterli olduğunu belirten Şimşek, “Ameliyatla alınması haricinde başka bir tedaviye ihtiyaç olmaz. Kanserleşme oranı ise yüzde 1 yani çok nadirdir. Kanserleşme olsa bile seyir, diğer yumurtalık kanserlerine göre daha iyi ilerler” ifadelerini kullandı.

Şekil 1-Dermoid kistli yumurtalık Şekil 2-Normal yumurtalık
ERKEKLERDE BİLE GÖRÜLEBİLİYOR
Doktorlar, Jaimi’de tümörün neden büyümeye başladığını tam olarak teyit edemese de genç kadın, annesinin ona hamile kaldığında bir ikizi olabileceğine ve bu fetüsün yumurtalığında büyümeye devam ettiğine inanıyor.
Jaimi, “Teyzem, annem ve büyükbabam ikiz olduğu için, belki benim de ikizimin olabileceğini söylediler” diyor.
Bu konuda görüşüne başvurduğumuz Şimşek ise bu tümörlerin oluşma nedeninin tam olarak bilinemediğini söyleyerek, “Böyle durumlarda kişinin anne karnında gelişirken yumurtalık dokusu içinde anormal bir gebelik oluştuğuna ve bunun doğumdan sonra bulgu verdiğine inanılıyor. Bu da fetüs içinde fetüs olarak biliniyor. İlginç olan, bu tümörler erkeklerde ve vücudun diğer kısımlarında da görülebiliyor. Doğumdan önce oluşan bu yapılar genellikle ergenlik döneminde belirti vermeye başlıyor” ifadelerini kullandı.
‘YA ÇOCUK SAHİBİ OLAMAZSAM’
Jaimi tümörü aldırdığı için rahatlamıştı ancak yumurtalığının alınması da onu korkutmuyor değildi. Tek yumurtalığı olmasının ileride çocuk sahibi olma girişimlerini engelleyeceği fikri onu tedirgin ediyordu. Çünkü tek isteği çocuk sahibi olmak ve büyük bir aile kurmaktı.
Dermoid tümörde çok büyümedikçe yumurtalığın korunduğunu söyleyen Şimşek, “Yumurtalık alınsa bile kalan yumurtalıkla elbette hamilelik olabilir. Ancak tek yumurtalığın alınması, kadının gebe kalabilme potansiyelini düşürür, rezervini azaltır. Bu nedenle dermoid tümör gibi iyi huylu yumurtalık kitlelerinde her durumda yumurtalığı korumak tercih edilir” dedi.
Tümörün çıkarılmasıyla birlikte Jaimi sağlıklı beslenme ve egzersiz içeren diyetine geri döndü. O zamandan beri yaklaşık 46 kilo verdi ve şimdilerde 66-67 kilogram ağırlığında.
Jaimi Conwell (@jaimiconwell)’in paylaştığı bir gönderi
ASİTTEN KAYNAKLANDIĞINI DÜŞÜNDÜ
Dişleri ve saçları olan bir tümöre sahip olan tek kişi Jaimi değildi. ABD’li Page Davenport, ilk olarak 29 Ocak’ta karnında olağandışı bir ağrı hissetti ve regle benzemeyen garip bir kanama yaşadı.
New York Post’un haberine göre Page, ilk başta bu ağrının mide asidinden kaynaklanabileceğini düşündü. Ancak aslında sebep bundan çok daha kötü bir şeydi. Page, kanaması olunca derhal doktoruna danıştı ve ultrason çektirdi.
Ultrason sonucuna göre Page’in rahminde iki büyük tümör tespit edildi. Bu tümörlerin en şaşırtıcı yanı tıpkı Jaimi’de olduğu gibi etrafında saç ve dişler olmasıydı. Page bu kistin iki yıl boyunca rahminde büyümüş olduğuna inanmakta zorlandı hatta raporları görünce bile inanmak istemedi.
Şimşek, dermoid tümörün genellikle hiçbir belirti vermediğini ve genellikle ultrasonda tesadüfen saptandığını söyleyerek, “Belirti verirse genelde daha ağır seyreder. İçerdiği yüksek yağ oranı nedeniyle karın içinde yüzer ve yumurtalığın kendi etrafında burulmasına (torsiyon) neden olur. Torsiyone olmuş yumurtalık, şiddetli kasık ağrısı, bulantı, kusma gibi belirtilerle kendini gösterir. Eğer vücudun farklı kısımlarına yerleştiyse o bölgeye ait belirtiler de verebilir” açıklamalarında bulundu.
KARINDA ŞİŞLİK VARSA…
Son olarak tümörün kilo üzerindeki etkilerini sorduğumuz Şimşek, aradaki ilişkiyi şu şekilde açıkladı:
Şimşek, “Burada sessizce büyüyen tümör karın şişliği yaratarak kilo vermeye çalışan bir kişide, kilo verememe hissiyatı oluşturabilir. Göbeğim erimiyor diye düşünürken, aslında içinde büyüyen bir kist mevcut olabilir” dedi ve ekledi:
“Bu yüzden kadınlar karın şişliği yakınmasını önemsemeli. Sindirim problemi, hazımsızlık gibi kılıflara sığınıp içinde büyüyen bir kitlenin tanısını geciktirmemeli. Karın şişliğiniz varsa bir jinekoloğa mutlaka muayene olunmalı.”
KAYNAK: Hürriyet